
Ranger, a 6-year-old Quarter Horse gelding, reminded our Equine Field Service, and his owner, just how resilient and surprising horses can be.
Malorie Deines was trying to give Ranger a bath when he got loose and injured his fetlock on a post. “It was a wild goose chase,” Deines said. “My dad and I finally caught him, and he had a pretty big gash right above his fetlock. I was worried about tendons and that kind of thing, so I called the field service. They came out and stitched him up.”

He started on antibiotics and began to heal but then ripped out the stitches, so Deines had to call the field service back out.
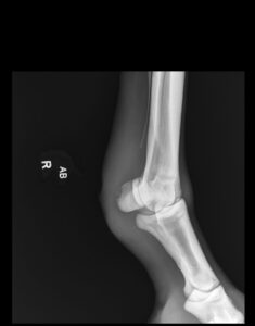
“Diagnostics revealed a septic tendon sheath – an urgent and potentially life-ending condition,” said Dr. Amara Clough, an intern with the CSU Equine Field Service. “While traditional surgical treatment wasn’t an option for Malorie in this case, our team got creative and developed a plan for treatment by field service.”
“Malorie wanted to give Ranger a chance at recovery, so we were able to come up with a treatment option that worked for her budget, but would still give a reasonable chance at recovery,” said Dr. Anna Bracken, a CSU clinical instructor who also worked on the case.
Ranger underwent a series of standing lavages every other day for three treatments, combined with injectable antibiotics and regional limb perfusions. “After just five days, he was sound, and the infection had resolved,” Clough said.
But the story didn’t end there.
“Two days later, Ranger became suddenly lame again. Radiographs revealed septic sesamoiditis, a serious bone infection. With the same determination, our field service team performed a standing procedure to debride the infected bone as much as possible. Ranger remained on oral antibiotics for a few more weeks as we all hoped he would have the strength and determination to kick the infection,” Clough said.
Ranger’s case was an emotional one for all involved. “We were not sure how successful Ranger’s recovery would be. While we knew he’d no longer be a high-level performance horse, everyone held out hope that he could recover to be ‘pasture sound’ and comfortable for light riding,” Bracken said.
The strength to heal
Strength and determination have been Ranger’s hallmark since Deines bought him as a 2-year-old from a “bad situation.”
“I took him home, fed the heck out of him and trained him,” Deines said. “He was just so malnourished that he didn’t really start sprouting up until he was about 3 and a half, which is really behind for a horse.”
When she was a student at Laramie County Community College, Deines and Ranger participated in ranch versatility competitions. “I showed him on the ranch horse team, just me and my measly little Podunk colt that was really skinny and kind of awkward looking. I look at him now and I’m like, ‘dang, he’s a really good-looking horse.’ A lot of hard work and dedication got put into him and I think that’s why.”
So Deines was determined to help him heal. “The field service people were straightforward about the possibilities at the beginning – they were pretty grim. They kept me in the loop and tried different things to help him get better. He might have permanent damage in his ankle, but that’s the risk you take. But he’s alive, and he’s still standing and eating. Man does that horse love food.”

Ranger is now fattening up for winter, and Deines is keeping an eye on his leg. “He’s still got some issues of going in and out of lameness, but we’re slowly recovering and I’m taking it easy on him this winter and hoping by the summer he can be 100 percent not lame.”
Having just moved to Cheyenne, Deines says she will still use CSU equine services if Ranger has any more problems. “I think they did a great job. I’d probably just haul him down there.”
“Today, we’re thrilled to report that Ranger is doing better at home with his wonderful owner,” Clough said. “His recovery is nothing short of remarkable – and a true testament to perseverance, teamwork, and the power of innovative care in the field. A huge thank you to Malorie for partnering with us and giving her boy the chance he needed to beat the odds!”
Veterinary Health System
Colorado State University’s Veterinary Health System is a community of veterinary professionals dedicated to providing exceptional service with passion and purpose. Our experts are animal and public health leaders working together to apply their diverse skills in veterinary care, diagnostics, and education. As a partner of CSU’s top-ranked academic veterinary program, the clinical team works with researchers and educators to advance the future of veterinary medicine.