Laminitis. As a horse owner, it can be one of the most devastating diagnoses to hear. As a veterinarian, it can be one of the most challenging conditions to treat. A painful foot condition, laminitis can be the result of various disease processes.
What is laminitis?
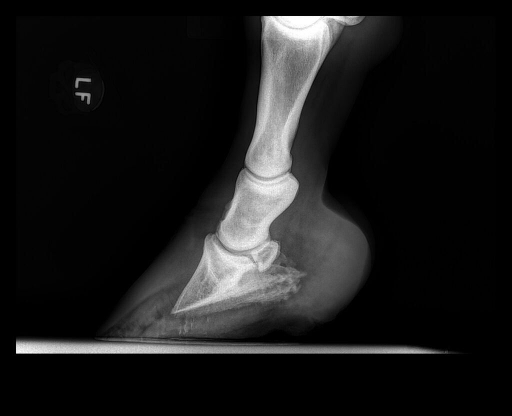
Understanding the disease starts with looking at the unique anatomy of the horse’s foot. The coffin bone is held within the hoof capsule by a series of laminae, which are finger-like projections of highly vascular connective tissue. The laminae inside the hoof wall are woven into the corresponding laminae on the surface of the coffin bone, forming a tight “Velcro-like” connection between bone and hoof. When a horse develops laminitis, inflammation interrupts blood flow to the laminae, which compromises the attachment between the coffin bone and hoof. The inflamed laminae become weak and may detach, leading to rotation or sinking of the coffin bone within the hoof capsule. Laminitis with coffin bone rotation is often referred to as founder.
What causes laminitis?
There are several predisposing factors that may cause a laminitis episode. Systemic illness, especially if the horse has a fever, puts the horse at risk for laminitis due to the widespread inflammation within the body. Pneumonia, colitis, and retained placentas are examples of systemic diseases that commonly lead to laminitis. Metabolic disturbances may disrupt the laminar blood flow, which may be secondary to a singular event (grain overload or grazing lush grass), or ongoing, which occurs in horses with insulin dysregulation and/or pituitary pars intermedia dysfunction (PPID, or Cushing’s disease). Altered weight-bearing, such as with an injury that limits the horse’s ability to use one leg, puts the opposite foot at risk for developing what is described as support-limb laminitis.
Recognizing laminitis
Early signs of laminitis may be subtle. Some horses may be reluctant to walk or refuse to lift their feet when asked. Their gait may appear stiff or stilted when walking, especially when turning. To try and offload the painful portion of the hoof, which is focused at the toe, horses may adopt a rocked-back stance, shifting their weight onto the back legs.
Digital pulses, which are felt along the fetlocks and pasterns, will be increased in both rate and character, secondary to the inflammation within the feet. Horses are often reactive to hoof testers at the point of the frog, where the coffin bone is closest to the ground. A veterinary exam will likely involve radiographs of the feet, to see if there has been any rotation of the coffin bone. A venogram may be performed to evaluate the integrity of the blood flow within the foot.

Treating laminitis
Prompt treatment increases the chances of a complete recovery and focuses on two main concepts. One is reducing inflammation, to try and preserve blood flow to the laminae and protect the attachments between the coffin bone and hoof wall. This is achieved by treating the horse with systemic anti-inflammatories and by limiting movement to reduce strain on the inflamed laminae. The horse should be confined and provided with comfortable bedding to encourage them to lie down. Sand is an ideal substrate for the laminitic horse, as it allows them to stand with support for the sole and frog while also unweighting the painful toe. In acute cases, icing the feet can help as well. The second priority in treating laminitis is altering the biomechanics of the foot, to reduce the strain on the inflamed laminae and minimize or prevent rotation. Depending on the case, that may involve corrective hoof trimming or the application of therapeutic footwear, the goal of which is to transfer the horse’s weight off of the painful hoof wall onto the intact frog and sole. Different types of therapeutic shoes will provide cushioning and limit the forces that are pulling the coffin bone away from the hoof wall.
Additional therapies may be necessary for pain management, or to try and improve blood flow to the foot. Systemic treatments to address the cause of the laminitic event will depend on what is suspected to have triggered the episode. Infectious diseases must be treated with appropriate antibiotics and supportive care. Endocrine disorders require ongoing management to minimize the hormone disruptions that can trigger laminitis. If the laminitis is unable to be stabilized, and coffin bone rotation becomes progressive, a surgical procedure to halt rotation may be the horse’s only option before euthanasia. This involves cutting the deep digital flexor tendon, which eliminates the force pulling the coffin bone away from the hoof wall. Although this stops the rotation, it also destabilizes the foot and will limit the horse to pasture soundness only.
The unfortunate reality of laminitis is that in many cases, the disease progresses despite efforts to stop it. Laminitis can be very painful, and horses function poorly without the ability to stand and move comfortably. Many cases end in humane euthanasia to prevent these horses from suffering.
How can we prevent laminitis?
Sometimes laminitis occurs despite our best efforts to prevent it. But risk can be minimized by managing some of the factors that contribute to the disease. Horses that are “easy keepers” are prone to insulin dysregulation, which puts them at higher risk for developing laminitis. These horses should be maintained on diets low in sugar and allowed limited or no access to grass or grain. Horses with clinical signs that suggest Cushing’s disease (PPID) should be tested and treated appropriately. There is a risk of laminitis developing after being treated with steroids, so their use must be carefully considered in every horse, but particularly those that fall into higher risk categories (geriatrics, ponies, and horses with endocrine disorders). Horses with systemic illnesses are often placed into therapeutic shoes or treated with ice as a preventative measure, as are horses with serious injuries that limit their ability to bear full weight on all limbs.
Once a horse has had a bout of laminitis, they may be more susceptible to future episodes, as the inflamed laminae may be weakened, or blood flow to the foot may not return to normal. This is why recognition and prompt treatment of laminitis is critical to achieving the best possible outcome.
