Author: Anna Bracken

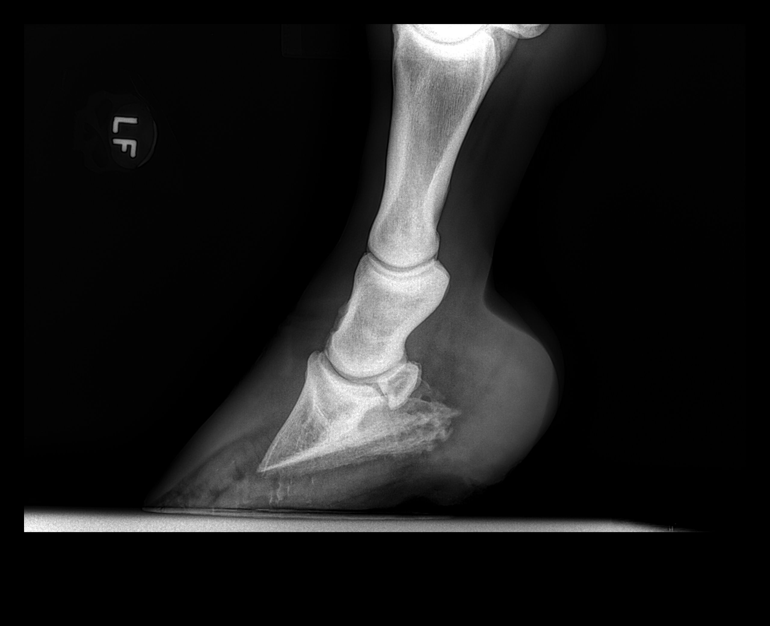
X-ray of laminitic hoof with significant coffin bone rotation

Laminitis in horses

A painful foot condition, laminitis can be the result of various disease processes. Once a horse has had a bout of laminitis, they may be more susceptible to future episodes, which is why recognition and prompt treatment of laminitis is critical to achieving the best possible outcome.

a group of brown horses grazing in a green field, the Tetons and trees in the background

Vesicular stomatitis in horses

Vesicular stomatitis is a viral infection that can cause disease in a broad range of animals, primarily horses, cattle, and pigs.

a close up picture of a horse's hooves as he runs

Caring for your older horse

There are important management decisions that will need to be made to ensure your equine friend will stay happy and healthy for years to come.